پروفسور محمد حسین سلطان زاده

      استاد دانشگاه علوم پزشکی شهید بهشتی
متخصص کودکان ونوزادان
طی دوره بالینی عفونی از میوکلینیک آمریکا
دبیر برگزاری کنفرانس های ماهیانه گروه اطفال
 دانشگاه علوم پزشکی شهید بهشتی

دکتر علیرضا فهیم زاد

فوق تخصص عفونی اطفال

به اتفاق اعضای هیئت علمی بخش عفونی بیمارستان کودکان مفید

دکتر خدامی

فوق تخصص پاتولوژی

معرف کیس:

دکتر آیه یراقی

رزیدنت بیمارستان کودکان مفید

دکتر لیلا باژدان

رزیدنت بیمارستان لقمان حکیم

دکتراعظم صفرخانی

رزیدنت بیمارستان امام حسین

دکتر فهیمه صادقی

رزیدنت بیمارستان شهدا تجریش

دکتر سید احمد طباطبایی

فوق تخصص ریه اطفال

دکتر مریم حسن زاد

فوق تخصص ریه اطفال

دکتر رکسانا آزما

فوق تخصص رادیولوژی

دکتر هاشمیه

دکتر حسن زاد

دکتر کاظمیان

دکتر فهیم زاد

 

 

 

 

دکتر علیرضا فهیم زاد

فوق تخصص عفونی اطفال

به اتفاق اعضای هیئت علمی بخش عفونی بیمارستان کودکان مفید

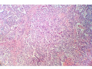
تشخیص:

عفونت قارچی

دکتر خدامی

فوق تخصص پاتولوژی

 

 

معرف کیس:

دکتر آیه یراقی

رزیدنت بیمارستان کودکان مفید

 

دکتر لیلا باژدان

رزیدنت بیمارستان لقمان حکیم

 

دکتراعظم صفرخانی

رزیدنت بیمارستان امام حسین

 

دکتر فهیمه صادقی

رزیدنت بیمارستان شهدا تجریش

اظهار نظر اساتید:

دکتر سید احمد طباطبایی

فوق تخصص ریه اطفال

دکتر مریم حسن زاد

فوق تخصص ریه اطفال

دکتر رکسانا آزما

فوق تخصص رادیولوژی

دکتر هاشمیه

دکتر حسن زاد

دکتر کاظمیان

دکتر فهیم زاد

اهدای جوایز به رزیدنت ها و تکریم اساتید: