|
پروفسور محمد حسین سلطان زاده
استاد
دانشگاه علوم پزشکی شهید بهشتی
متخصص کودکان ونوزادان
طی دوره بالینی عفونی از میوکلینیک آمریکا
دبیر برگزاری کنفرانس های ماهیانه گروه اطفال
دانشگاه علوم پزشکی شهید بهشتی
|
دکتر محمد غفرانی
فوق تخصص اعصاب اطفال
دکتر سید حسن تنکابنی
فوق تخصص اعصاب اطفال
به
اتفاق اعضای هیئت علمی بخش نورولوژی اطفال بیمارستان مفید
|
معرفی بیمار
پسر 13 ساله اهل و ساکن بندر عباس
گوینده شرح حال: مادر بیمار
:ccحرکات
غیر طبیعی و اختلال بلع
Pl
– پسر 13 ساله که تا 2 سالگی نرمال بوده است و از 2 سالگی دچار
اختلال تعادل شده است که همراه با افتادن های مکرربوده است. به تدریج از 6 سالگی
علائم تشدید شده و حرکات پرشی کره ای فرم در دستها ایجاد شده است. از 8 سالگی حرکات
کره ای فرم کاهش یافته اما حرکات دیستونیک شروع شده است که تا کنون افزایش یافته
بنحوی که اکنون توانائی بلع را از دست داده و تکلم ندارد.

PMH:
فرزند دوم از مادر G4p3Ab1L3-
ماحصل
NVD
و ترم –ایکتر در نوزادی داشته است که
فتوتراپی شده است تا
2
سالگی سیرتکاملی نرمال بوده است. سقط مادر در 2 ماهگی بوده است.
سابقه 1 بار بستری در 1 ماهگی به علت مننژیت در بندر عباس داشته است و 1 بار بستری
بعلت مشکل اخیردریزد
Zinc sulfate- vitE – vitB1 : DH
FH:
پدرمادر منسوب دور می باشند- سابقه تشنج و مشکل مشابه در خانواده ندارد
Allergy
: ندارد
GA
: پسر13 ساله روی تخت دراز
کشیده است و حرکات دیستونیک دارد.

phlEx
: هوشیار است اما محتوای هوشیاری قابل ارزیابی نیست. معاینه اعصاب کرانیال
نرمال بود. تستهای مخچه ای قابل ارزیابی نبود – قدرت عضلانی نرمال بود – تون عضلات
افزایش یافته است. وضعیت دیستونیک داشت-
DTR
2 + بود و رفلکس کف پائی
null
بود تستهای حسی قابل ارزیابی نبود- کودک قابل به راه رفتن نبود و اختلال
gait
قابل بررسی نبود-نرموسفال است دور سر در محدوده نرمال بود- معاینه چشم در حد امکان
نرمال بود و حرکات غیر طبیعی و نیستاگموس نداشت- قلب و ریه نرمال بود- ارگانومگالی
نداشت و لکه پوستی دیده نشد.
Lab test:
GLU=60
CSF/A= Pr = 18
WBC= 0
RBC=0
CSF/C=
-
آزمایشات
آزمایشات زمان بستری به قرار زیر است:
CBC: WBC=7.6 L:74%
RBC=5.09 P: 23%
Hb=12.5 M: 1%
HCT=36.9 EoS: 2%
Mcv=72.5
MCH=24.6
MCHC=32.9
PLT=313
سرلوپلاسمین سرم نرمال ، مس ادرار نرمال
HPLC
اسیدهای آمینه سرم و ادرار نرمال
آمونیاک و لاکتات سرم نرمال
ANA, CH50, C4, C3
نرمال
Uric Acid , ph, ca
نرمال
Α FP = normal
CEA= normal
IgG=
27.3
IgM= 0.89 normal
IgA= 1.82 normal
IgE=
134.2
Lipid profil= normal
LFT, BIC= normal
مشاوره چشم درخواست شد که تا زمان ترخیص آماده نشد.
PBS
درخواست شد که تا زمان ترخیص آماده نشد.
ABR
درخواست شد که تا زمان ترخیص آماده نشد.
به علت دیستونی تحت درمان با آرتان و کاربامازپین قرار گرفت.
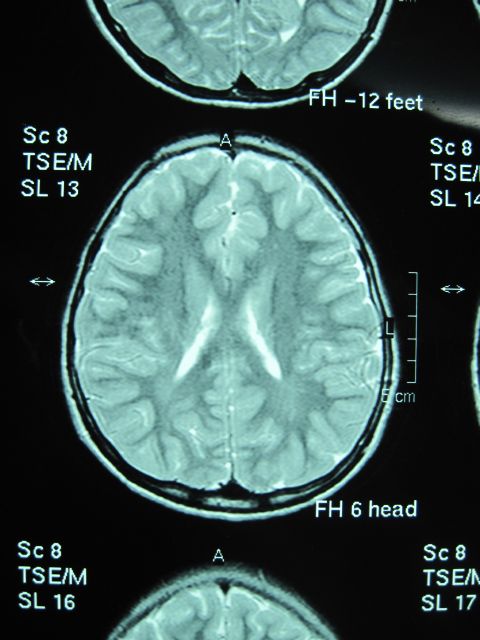
Brian MRI
انجام شد که تصویر کلیشه ضمیمه است.

تشخیص شما چیست ؟
