|
پروفسور محمد حسین سلطان زاده
استاد
دانشگاه علوم پزشکی شهید بهشتی
متخصص کودکان ونوزادان
طی دوره بالینی عفونی از میوکلینیک آمریکا
دبیر برگزاری کنفرانس های ماهیانه گروه اطفال
دانشگاه علوم پزشکی شهید بهشتی
|
دکتر رضا شیاری
فوق تخصص روماتولوژی
اطفال
به اتفاق اعضای هیئت علمی اطفال بیمارستان مفید
|
معرفی بیمار
Case presentation
G2 P2 Ab0 L1 کودک پسر 2 سال و 1 ماهه فرزند دوم مادر
C/Sحاصل
به علت Repeat 2
گوینده شرح حال=مادر(100% قابل اطمینان_ دایی کودک و داماد خانواده هم پزشک می
باشند)
C.C =
خون در ادرار
P.I= مشکل کودک از 50 روزگی شروع شده است. که با انجام
آزمایش ادرار
(U/A)
متوجه وجود هماچوری میکروسکوپی(30-35 گلبول قرمز) می شوند. علت انجام آنالیز ادراری
، این بوده که در سونوی 4 بعدی مادر در ماه هشتم حاملگی تورم در کلیه راست جنین
مشاهده شده بود. سونوگرافی در 50 روزگی نرمال بوده است. در 2 ماهگی هماچوری گروس هم
ایجاد می شود واز آن موقع تا کنون هماچوری میکروسکوپی ادامه داشته و هماچوری گروس
هم گاها دیده شده است.
در 2 ماهگی دفع پروتئین در ادرار در حد 2+ ایجاد می شود. تا 6 ماهگی هماچوری ادامه
می یابد و با انجام آزمایش پیگیری می شود.
از 6 ماهگی تب به علایم کودک اضافه می شود که حتی تا40درجه افزایش می یابد.سپس دچار
پوسته ریزی در دستها و انگشتان شده که حتی به احتمال کاوازاکی بستری شده و
ایمونوگلوبولین وریدی دریافت می کند. ولی سیر تب و سایر علایم گفته شده ادامه می
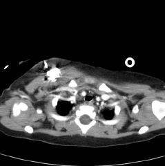
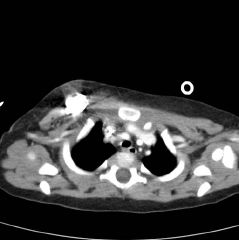
یابد و با توجه به هماچوری و سایر علایم در تاریخ 12/2/88 بیوپسی کلیه انجام می
شود. در زمانی که برای بیوپسی کلیه بستری می شود ، یکسری ضایعات پوستی ماکولر هم
روی بدن ایجاد می شود.
جواب بیوپسی کلیه بیمارستان مفید:
Minimal mesengeal proliferation and focal glomerular sclerosis
Comment:in spite of absence of light microscopic positive findings membranous
lupus nephritis should be ruled out by EM and follow up the patient
جواب میکروسکپ الکترونی بیمارستان بقیه الله:
Thin glomerular basement membrane disease
PMH :
وزن تولد= 3300 گرم
مادر مراقبت پری ناتال مناسب داشته وکودک پس از تولد بجز ایکتر خفیف که نیاز به
بستری هم نداشته است مشکل دیگری نداشته است. تغذیه با شیر مادر بوده که پس از 6
ماهگی غذای کمکی هم به آن اضافه شده است. وزن گیری کودک نرمال بوده ودر حال حاضر 14
کیلو می باشد.
از نظر کلامی تاخیر داشته ودر حال حاضر از تعداد محدودی کلمات استفاده می کند. سایر
موارد رشد ونمو کودک نرمال بوده است.
واکسن
MMR تزریق نشده است
F.H =
سابقه مشکل مشابه در فرزند اول خانواده وجود
داشته به این شکل که در 4 سالگی دچارUTI
شده و در سونو گرافی کلیه اکتوپیک دیده شده است.وی دچار
هماچوری هم شده است و تا 6 سالگی علاوه بر ادامه داشتن هماچوری چندین نوبت به علت
تب و تشنج و عفونت ادراری بستری شده است. در 6 سالگی علاوه برعفونت ادراری که به
خاطر ان بستری می شود ، دچار تشنج بدون تب می شود که کنترل نشده و به علت کاهش سطح
هوشیاری به آی سی یو منتقل می شود.
ام آر آی مغز در ان موقع نرمال بوده است. پس از حدود 45 روز ترخیص شده و به احتمال
لوپوس تحت بررسی قرار می گیرد. وی دچار افت اندکس های خونی هم می شود و آسپیراسیون
مغز استخوان انجام شده که سالم بوده است. سپس بیوپسی کلیه شده که احتمال لوپوس
داده می شود و در 8 سالگی پس از تشنج مجدد فوت می شود.
D.H =
پردنیزولون – کلشی سین – سوکرال فیت – امپرازول – بروفن - کوتریموکسازول
: P/E
PR=98 RR=20 AT=36.5_39.5 BP=
60/95
Wt=14 HT= 83 Hc=
48
کودک در ظاهر هوشیار است و دیسترس خاصی ندارد.
ملتحمه مختصر رنگ پریده می باشد. معاینه گوش و حلق نرمال است. لنفادنوپاتی در سر و
گردن ندارد.
معاینات قفسه سینه و سمع قلب و ریه نرمال است.
شکم نرم بدون دیستانسیون است.اورگانومگالی وجود ندارد.
ژنیتال پسرانه و نرمال است. اندام وستون فقرات نرمال به نظر می رسد.هنگام راه رفتن
مشکل خاصی مشاهده نمی شود.
بر روی پوست کودک فعلا هیچگونه ضایعه پوستی دیده نمی شود. معاینه عصبی کودک نرمال
است
آزمایشات اولیه مربوط به سال 88:
WBC=12700(P=33% L=53%) aniso=1+
hypo=1+
Hb=10.5 MCV=64 MCH=18.6 MCHC=28.7 micro=1+ ovalo=1+
PLT=466000
ESR=3 تا 44
(جوابهای مختلف داشته) CRP=neg
تا 3+(جوابهای
مختلف داشته)
C3=174(90_180) C4=36(10_40) CH50=90(90_98)
IgG=499(350_1200) IgA=19(36_165) IgM=47(36_104) IgE=20(nl)
ANA=neg anti DSDNA=0.3(neg up to 0.9) antiGBM=neg CIC=neg
SGOT=41 SGPT=20 CPK=151(41_330) LDH=520(409_1084)
Aldolase=10(10_40)
Lupus anticoagulant=33 sec(30_45)
U/A=Pro:2+ Blood:3+ RBC=many
Urine random= ca:11 pro:28 cr:53 uric acid:40 ca/cr:0.2
pro/cr:0.53
Toxo & Reubella & CMV Ab=neg
FTA_ABS=neg
HBS Ag=neg HBS Ab=885 HIV Ab=neg
C_ANCA=Positive(titer:1/20)
آخرین آزمایشات(بستری در مهر 89) :
BUN=8 Cr=0.5 Na=140 K=4.5 Ca=9
P=5.9
SGOT=22
SGPT=10
WBC=10900(P=83% L=11%)
Hb=11.7
MCV=64
MCH=20 MCHC=31
PLT=500000
U/A=
RBC:many





















تشخیص شما چیست ؟
 |