|
پروفسور محمد حسین سلطان زاده
استاد
دانشگاه علوم پزشکی شهید بهشتی
متخصص کودکان ونوزادان
طی دوره بالینی عفونی از میوکلینیک آمریکا
دبیر برگزاری کنفرانس های ماهیانه گروه اطفال
دانشگاه علوم پزشکی شهید بهشتی
|
خانم دكتر سهيلا خليل زاده
عضو هيئت علمي دانشگاه به اتفاق اعضاي هيئت علمي
گروه اطفال بيمارستان مسيح دانشوري
|
خانم دكتر سهيلا خليل زاده
عضو هيئت علمي دانشگاه به اتفاق اعضاي هيئت
علمي گروه اطفال بيمارستان مسيح دانشوري

معرفي بيمار
:CC
بيمار پسر 13 ساله با شكايت تب و درد همي توراكس راست مراجعه كرده
است.
:PIمشكلات
بيمار از حدود يكماه قبل از مراجعه با درد كشاله ران سمت چپ بدون سابقه تروما شروع
شده است كه همراه با تب و كاهش وزن بوده است. بيمار جهت بررسي در مركز درماني ديگر
بستري و به دنبال گرفتن راديوگرافي ريه متوجه
Consolidation
در ناحيه پاراكاردياك راست شده است و تحت درمان آنتي بيوتيك تزريقي
به مدت 2 هفته قرار گرفته و به علت عدم پاسخ درماني مناسب جهت بررسي بيشتر به اين
مركز ارجاع شد.
PMH:
بيمار فرزند سوم خانواده و سابقه يك سقط در مادر وجود داشته است. زايمان ترم بوده
و واكسيناسيون وي كامل ميباشد.سابقه يك بار بستري در بيمارستان به علت مشكل حاضر
دارد. سابقه اي از آلرژي ذكر نميكند.
بيمار سابقه تماس با فرد مبتلا به سل ريوي فعال (دايي) را ميدهد.
يافته هاي معاينه باليني اوليه:
BP: 100/60 PR: 120 RR: 26 T: 37
Weight-for-age percentiles: 5%
Height-for-age percentiles: 25%
بيمار هوشيار ميباشد.
ill
است ولي
toxic
نيست .
معاينه سر و گردن و چشم و گوش و حلق و بيني نرمال است. لنفادنوپاتي ندارد.
معاينه قفسه سينه و سمع قلب نرمال است. سمع ريه ها كراكل منتشر داشت.
شكم در معاينه نرم ميباشد و نكته خاصي وجود ندارد.
در معاينه اندام ها مورد خاصي مشهود نيست.
يافته هاي آزمايشگاهي:
WBC=13000 PMN=76 Lymph=15 MCV=69 ESR=120 Hgb=9.1 Hct=28.5
Plt=850 Cr=1.6
Uric Acid=2 LDH=NL U/A=NL S/E=Fatty Droplet positive CRP=74
Gastric Washing Direct-Smear (BK): Negative PCR (for MBT complex):
Negative
PPD: 12 PT: 16.7 PTT: 48 INR: 1.7
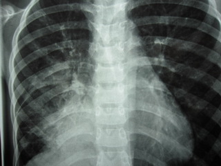
Chest X Ray


Report of Spiral
HRCT of Chest without contrast media



A
right paracardiac soft tissue is noted, with some area of air bronchogram and
consolidation pattern at the center of the lesion which has mass like appearance
At the periphery of the mass some lymphangiectasia also seen and right hilum
prominency
Bronchoscopy
Normal
Direct-Smear:
Nl
Culture:
Aspergillus sp
URF(usual respiratory flora)
1-Beta haemolytic strep non group A,B,C and D cc:1000/ml
2-Coagolase negative staph cc:1000/ml
Pathology
A: Transbronchial
lung biopsy
Pulmonary eosinophilic infiltration associated with inflammatory process.
Negative for malignancy.
Negative for granuloma.
B: Bronchial
mucosal biopsy
Chronic nonspecific inflammatory associated with mild eosinophilic infiltration.
Negative for malignancy.
Negative for granuloma.
Spiral abdomen &
pelvic C.T.scan
Normal
Bone Marrow
Aspiration Report
Normocellular Marrow
اقدام
تشخيصي بعدي از نظر شما چيست؟!
تشخيص شما چيست؟