پروفسور محمد حسین سلطان زاده

      استاد دانشگاه علوم پزشکی شهید بهشتی
متخصص کودکان ونوزادان
طی دوره بالینی عفونی از میوکلینیک آمریکا
دبیر برگزاری کنفرانس های ماهیانه گروه اطفال
 دانشگاه علوم پزشکی شهید بهشتی

خانم دكتر سهيلا خليل زاده

عضو هيئت علمي دانشگاه به اتفاق اعضاي هيئت علمي گروه اطفال بيمارستان مسيح دانشوري

خانم دكتر شیلان محمدی

فلو ریه بیمارستان مسیح دانشوری

معرفی کیس:

خانم دكتر لیلا قاسمی

رزیدنت بیمارستان مسیح دانشوری

خانم دكتر فائزه ایمان دوست

رزیدنت بیمارستان امام حسین

دکتر عقیل میری

رزیدنت بیمارستان شهدای تجریش

دکتر زینت شاکری

رزیدنت بیمارستان مفید

دکتر سمانه عبدالله زاده

رزیدنت بیمارستان لقمان

دکتر مصطفی شریفیان

فوق تخصص کلیه اطفال

دکتر شیاری

فوق تخصص روماتولوژی

دکتر خان بابائی

فوق تخصص ریه اطفال

دکتر ارزانیان

فوق تخصص خون اطفال

دکتر عبدالله کریمی

فوق تخصص عفونی اطفال

دکترغفاری

فلو ریه مسیح دانشوری

دکتر صدر

فوق تخصص ریه اطفال

 

خانم دكتر سهيلا خليل زاده

عضو هيئت علمي دانشگاه به اتفاق اعضاي هيئت علمي گروه اطفال بيمارستان مسيح دانشوري

 

 

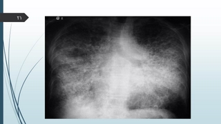
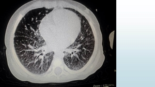
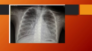
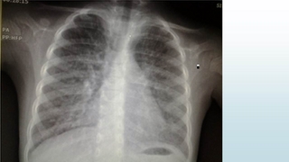
تشخيص :

Pulmonary Alveolar Microlithiasis

خانم دكتر شیلان محمدی

فلو ریه بیمارستان مسیح دانشوری

 

معرفی کیس:

خانم دكتر لیلا قاسمی

رزیدنت بیمارستان مسیح دانشوری

 

خانم دكتر فائزه ایمان دوست

رزیدنت بیمارستان امام حسین

 

دکتر عقیل میری

رزیدنت بیمارستان شهدای تجریش

 

دکتر زینت شاکری

رزیدنت بیمارستان مفید

 

دکتر سمانه عبدالله زاده

رزیدنت بیمارستان لقمان

 

اظهار نظر اساتید:

دکتر مصطفی شریفیان

فوق تخصص کلیه اطفال

دکتر شیاری

فوق تخصص روماتولوژی

دکتر خان بابائی

فوق تخصص ریه اطفال

دکتر ارزانیان

فوق تخصص خون اطفال

دکتر عبدالله کریمی

فوق تخصص عفونی اطفال

دکترغفاری

فلو ریه مسیح دانشوری

دکتر صدر

فوق تخصص ریه اطفال

 

اهداي هدايا به رزيدنت ها: