|
پروفسور محمد حسین سلطان زاده
استاد
دانشگاه علوم پزشکی شهید بهشتی
متخصص کودکان ونوزادان
طی دوره بالینی عفونی از میوکلینیک آمریکا
دبیر برگزاری کنفرانس های ماهیانه گروه اطفال
دانشگاه علوم پزشکی شهید بهشتی
|
دکتر
ناصر
صادقیان
عضو هیئت علمی
و جراح کودکان بیمارستان مفید
دکتر
لیلا مهاجرزاده
عضو هیئت علمی
و جراح کودکان بیمارستان مفید
|
معرفي بيمار
2 days old full
term and normally delivered male neonate with severe skin laxity. He admitted
in NICU for degrees of respiratory distress and none bilious vomiting
(Figure
1).
He had facial
features aged appearance. His skin was lax elsewhere and had a hoarse cry.
Increased hip joints laxity was seen. He had normal bowel movement.
Physical
examination revealed slightly tachypnea
(respiratory rates=30-40 per minute).Other
sites had no problem. Arterial blood gas and electrolytes were normal .NGT was
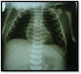
inserted for gastric decompression and then we requested for him Thoraco-abdominal
X-ray (Figure 2).
What is your
diagnosis?
He underwent
surgery. 2 days after surgery he had bowel
normal movement, and feeding was started and tolerated, but 3 days later he
demonstrated abdominal distention ,bilious vomiting ,and did not tolerate
feeding. Abdominal ultrasound revealed only bowel distention. Contrast study
with oral gastrographin was done.(figure 3).He re–operated for obstruction.
What is your
diagnosis?



تشخيص شما چيست؟