پروفسور محمد حسین سلطان زاده

      استاد دانشگاه علوم پزشکی شهید بهشتی
متخصص کودکان ونوزادان
طی دوره بالینی عفونی از میوکلینیک آمریکا
دبیر برگزاری کنفرانس های ماهیانه گروه اطفال
 دانشگاه علوم پزشکی شهید بهشتی

آقای دکتر سعید صدر

فوق تخصص ریه اطفال

به اتفاق اعضای هیئت علمی بیمارستان کودکان مفید

معرفی کیس:

خانم دکتر سارا یکتا

رزیدنت بیمارستان مفید

خانم دکتر نرگس سالار

رزیدنت بیمارستان شهدا تجریش

خانم دکتر لیلا باژدان

رزیدنت بیمارستان لقمان

خانم دکتر فرزانه فرهمندی

رزیدنت بیمارستان امام حسین

اظهار نظر اساتید:

دکتر محمد تقی طباطبایی

فوق تخصص کلیه اطفال

دکتر محسن جواد زاده

فوق تخصص اعصاب اطفال

دکتر سید احمد طباطبایی

فوق تخصص ریه اطفال

دکتر رکسانا آزما

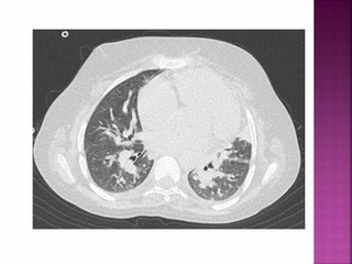
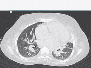
فوق تخصص رادیولوژی اطفال

دکتر یلدا نیلی پور

فوق تخصص پاتولوژی اطفال

 

آقای دکتر سعید صدر

فوق تخصص ریه اطفال

به اتفاق اعضای هیئت علمی بیمارستان کودکان مفید

تشخیص:

Congenital myopathies

معرفی کیس:

خانم دکتر سارا یکتا

رزیدنت بیمارستان مفید

 

خانم دکتر نرگس سالار

رزیدنت بیمارستان شهدا تجریش

 

خانم دکتر لیلا باژدان

رزیدنت بیمارستان لقمان

 

خانم دکتر فرزانه فرهمندی

رزیدنت بیمارستان امام حسین

 

تکریم  اساتید واهدای جوایز به رزیدنت ها:

 

اظهار نظر اساتید:

دکتر محمد تقی طباطبایی

فوق تخصص کلیه اطفال

دکتر محسن جواد زاده

فوق تخصص اعصاب اطفال

دکتر سید احمد طباطبایی

فوق تخصص ریه اطفال

دکتر رکسانا آزما

فوق تخصص رادیولوژی اطفال

دکتر یلدا نیلی پور

فوق تخصص پاتولوژی اطفال