|
پروفسور محمد حسین سلطان زاده
استاد
دانشگاه علوم پزشکی شهید بهشتی
متخصص کودکان ونوزادان
طی دوره بالینی عفونی از میوکلینیک آمریکا
دبیر برگزاری کنفرانس های ماهیانه گروه اطفال
دانشگاه علوم پزشکی شهید بهشتی
|
خانم دكتر سهيلا خليل زاده
عضو هيئت علمي دانشگاه به اتفاق اعضاي هيئت علمي
گروه اطفال بيمارستان مسيح دانشوري
|
معرفي بيمار
بيمار دختر 5/2 ساله از 7 ماه قبل به علت سرماخوردگي به پزشك مراجعه كرده و در
CXR
گرفته شده و نماي رتيكولوندولار منتشر دو طرفه داشته و با تشخيص پنوموني تحت درمان
آنتي بيوتيك قرار مي گيرد. جهت كنترل 6 ماه بعد مجددا
CXR
گرفته مي شود و همان نماي رتيكولوندولر منتشر دو طرفه مجددا ديده مي شود. بيمار در
مدت اين 7 ماه فقط كاهش اشتها داشته است . بيمار به علت وجود يافته هاي
راديولوژيك در ريه به يك مركز درماني دانشگاهي كودكان مراجعه مي كند و با توجه به
درگيري CXR
بررسي هاي تكميلي انجام مي شود. در بررسي ها (PPD
5mm،
لاواژ معده سه نوبت از نظر
BK: neg
) و در بررسي والدين از نظر
TB
منفي بوده است. در آن مركز بيمار با تشخيص
TB
ميليري تحت درمان قرار مي گيرد. 4 روز بعد از شروع درمان بيمار جهت بررسي بيشتر به
مركز مسيح دانشوري مراجعه مي كند.
در History
بيمار :
G3P3Ab0،
حاصل NVD،
وزن تولد 3kg،
بدون بستري بدو تولد، پدر و مادر نسبت فاميلي نداشتند. واكسيناسيون كامل است. اسكار
BCG
ديده مي شود. سابقه تماس با فرد مبتلا به سل را ذكر نمي كند.
در معاينه بيمار : منحني رشد نرمال ، سمع ريه ها
fine crackle
منتشر دو طرفه، بدون ديسترس تنفسي، بدون
clubbing
و سيانوز در اندامها ، در معاينه شكم نرم، بدون تندرنس
(هپاتواسپلنومگالي نداشت)
آزمايشات بيمار :
SO2
بدون اكسيژن : >
92% RR: 20 PR: 100 T: 37˚c
BP: 95/65
VBG= PH:
7.3 PCO2: 48 HCO3:
23 PaO2: 55
CBC= Hb:
13.6 WBC: 6.9 (N:39% , L:59%) PLT: 406000
ESR:
12 CRP: neg LDH: 560
HIV: neg
TFT: Nl
Immunology: Nl بيوشيمي
: Nl
در اين مركز مجددا لاواژ معده سه نوبت تكرار شد كه اسمير لاواژ از نظر
AFB
منفي بود.
PPD
در مركز اوليه
5mm
بود.
از پدر و مادر مجددا
CXR
گرفته شد و بررسي از نظر
TB
منفي گزارش شد.
سونوگرافي شكم:
Nl
اكو كارديوگرافي:
Nl
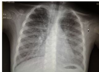
CXR:
نماي رتيكولوندولر منتشر دو طرفه
HRCT: ground glass
infiltration with Reticulonodular pattern
لطفا اقدام تشخيصي بعدي را بفرمائيد:
What is your differential
diagnosis?
Radiology

CT scan







تشخيص شما چيست؟