|
پروفسور محمد
حسین سلطان زاده
استاد دانشگاه علوم پزشکی شهید بهشتی
متخصص کودکان ونوزادان
طی دوره بالینی عفونی از میوکلینیک آمریکا
دبیر برگزاری کنفرانس های ماهیانه گروه اطفال
دانشگاه علوم پزشکی شهید بهشتی
|
معرفی : دکتر
سهیلا خلیل زاده
به اتفاق اعضای هیئت علمی گروه کودکان
بیمارستان مسیح دانشوری
|
Case Presentation
8 year-old girl
with chronic cough and recurrent hemoptysis (about 100 cc) since 20 days ago
admitted in our hospital.
She hadn't fever,
weight loss and anorexia.
Past Medical History
She had history
of GERD in infancy that was admitted in hospital for 20 days and treated
medically.
Vaccination was
performed completely.
BCG scar is
present.
No history of
tuberculosis, in family.
She has four
siblings and her birth weight was 2/5 kg.
Physical Examination
Patient was
conscious without respiratory distress.
She wasn't ill
appearing
She was not
hypoxemic or tachypenic.
Percentile of
height is 25% and weight 25%.
Multiple
lymphadenopathy in anterior cervical region and left supraclavicular region were
detected. (0.5×0.5)
Physical
Examination
Chest: Heart
sounds were normal, in auscultation of lungs diffuse fine crackles were
revealed.
Abdomen was
normal.
Limbs were
normal.( No clubbing)
Lab Findings
CBC:
WBC=25000, N=77%,
L=17%, M=4%, E=2%
HGB=12
HCT=38
ESR
4 84 111
CRP= +
LDH=252
428
LFT=Normal
U/A=Normal
Immunoglobulins=Normal
Mycobacterial
findings
PPD= Negative
Gastric Washing
Lavage x 3(AFB)=Negative

Smear and culture
of GW for pyogenic
microorganism
=Negative
PCR of GW(BK)
=Negative
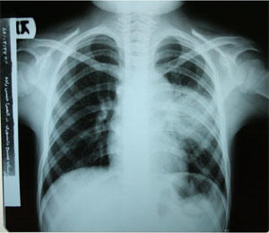
Radiological findings
CXR= Mass
Consolidation in left parahilar region with adenopathy in same side.
Sinus Xray=
Normal
Lung CT-scan=
Consolidation in anterior segment of LUL with left parahilar lymphadenopathy and
mediastinal calcification.
Abdominal
sonography=Normal
What is the patient's possible diagnosis?
