|
پروفسور محمد
حسین سلطان زاده
استاد دانشگاه علوم پزشکی شهید بهشتی
متخصص کودکان ونوزادان
طی دوره بالینی عفونی از میوکلینیک آمریکا
دبیر برگزاری کنفرانس های ماهیانه گروه اطفال
دانشگاه علوم پزشکی شهید بهشتی
|
معرفی : دکترمعصومه
محکم
فوق تخصص کلیه اطفال
به اتفاق اعضای هیئت علمی گروه کودکان
بیمارستان مفید
|
CC
تب و استفراغ
بیمار پسر بچه 15 ماهه ای است که در تاریخ 14/1/1386 با شکایت
تب و استفراغ به اورژانس بیمارستان مفید مراجعه نموده بود.
مشکل کودک از 4 روز قبل از بستری به صورت تب همراه با علائم کوریزا و استفراغ شروع
شده بود که با درمان سرپایی شامل قطره متوکلوپرامید ، قطره استامینوفن و شربت
کوتریموکسازول ، صرفاً تب کودک برطرف می شود.
به دلیل عدم بهبود علایم وتکرار 3 نوبت استفراغ ( غیر خونی/غیر صفراوی) و کاهش نسبی
حجم ادرار ؛ کودک به این مرکز مراجعه می کند.
PMH
فرزند سوم /ترم/ماحصل
NVD
/از مادر 30 سالهG3P3LC2Ab0
عدم وجود مشکلات مادری حین بارداری (DM/GDM/
HTN /PIH/ UTI / PID
)
سابقه ایکتر و آسفیکسی نداشته است.
واکسیناسیون تا زمان مراجعه
Up to date
بوده است.
به جز مورد اخیر سابقه بستری نداشته است.
DH
قطره متوکلوپرامید ، قطره استامینوفن و شربت کوتریموکسازول .
از 7 ماهگی تا زمان مراجعه ، قطره آهن و مولتی ویتامین را مصرف نکرده است.
FH
والدین غیر منسوب.
برادر 13 ساله کودک که مورد شناخته شده
Chronic ITP
وG6PD-deficiency
بوده است با تابلوی نارسایی حاد کلیه
و خونریزی ریوی در تاریخ 1/9/1382 درPICU
فوت شده است.
Socio-economic H
والدین اهل مازندران، ساکن قلعه حسن خان تهران.
مادر ،خانه دار و سطح تحصیلات سوم ابتدایی.
پدر ،کارگر شهرداری و بیسواد.
خانه مسکونی ملکی است و خانواده تحت پوشش بیمه تأمین اجتماعی قرار دارند.
Ph.E
HR : 140/min -- RR : 30/min -- BP : 80/40 mmHg -- AT : 37◦C
BW : 9500g -- L : 68Cm -- HC : 43.5Cm
بیمار هوشیار ولی
Ill
و بی
قرار بود.
تنها
نکته قابل توجه در معاینه رنگ پریدگی واضح ملتحمه و پوست بدن کودک بود.
Lab Data
CBC :
WBC=10800(P=20%)
RBC= 2.23x106
Hb=
4.6
MCV=66.8
MCH=20.6
MCHC=30.9
Plt=37000
PBS :
NRBC=60%
Myelocyte=4%
Metamyelocyte=3%
Hypochrome=3+
Schistocyte=3+
Poikilocyte=3+
 |
 |
| Normal KUB |
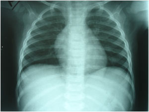
Normal CXR |
Lab Data
U/A :
WBC=15-20
RBC=35-40
Cast= 3-5 Granular & Cellular
Blood=3+
Alb=3+
Sg=1015
pH=5
U/C : Neg
Lab Data
Retic=4.8%
G6PD= Partially deficient
Coomb,s=Neg
BUN=25
Cr=0.5
CRP= Neg
PT= 13"
PTT= 30"
Bili(T , D)= 2 , 0.3
SGOT = 103
SGPT = 151
Total Pr = 4.2
Alb = 2.1
Uric Acid= 8.5
Blood Group = A+
 |
 |
| Normal VCUG |
Lab Data
ABG :
pH=7.50
PaCO2=25.7
HCO3=19.5
BE= - 0.9
ASO = <200
ANA =Neg
Anti DNA(ds) = 0.7(NL)
P.ANCA = 0.5(NL)
C.ANCA = 0.1(NL)
C3 = 99(NL)
C4 = 22(NL)
CH50 = 100%
Imaging
Normal CXR
Normal
KUB
Imaging
Normal VCUG
Imaging

افزایش اکوی کورتیکومدولاری
در هر دو کلیه
Imaging
در بررسی با کالر داپلر و اسپکترال ، موج وریدی در کلیه ها مشاهده شد
بیمار در طی مدت بستری با آنتی بیوتیک سفتریاکسون تحت درمان قرار گرفت .
به دلیل افت هموگلوبین در 2 نوبت
Packed cell
دریافت کرد.
نتایج کلیه کشت ها منفی بودند.
سونوگرافی شکم و لگن : افزایش اکوی کورتیکو مدولاری در هر دو کلیه ، استاز ادراری
در کلیه چپ با لگنچه باه ابعاد شش میلیمتر ، مایع اسیت نتایج سایر روشهای تصویر
برداری از جمله
CXRay-Abdominal
XRay - VCUG
نرمال
بودند.
آزمایش های تکمیلی به سازمان انتقال خون ارسال شد.
بیمار با تشخیص ؟؟؟؟؟؟؟ تحت اقدامات درمانی قرار گرفت .
یک اقدام تشخیصی برای بیمار صورت گرفت.
Blood Film
Schistocyte
Anisocytosis
Helmet Cell
Tear drop Cells
تشخیص شما چیست ؟
