Epstein-Barr Virus Infection
منونوکلئوز حاد عفونی
پروفسور محمد حسین سلطان زاده
استاد
دانشگاه علوم پزشکی شهید بهشتی
متخصص
کودکان ونوزادان
طی دوره
بالینی عفونی از میوکلینیک آمریکا
www.ProfessorSoltanzadeh.com
منونوکلئوز حاد عفونی
بیماری ویروسی است معمولا
به علت ویروس اپشتین بار
EBV
ایجاد می شود با تظاهرات کلینیکی بسیار متنوع که به آن بیماری هزار
چهره هم گفته می شود اطلاق میشود . گاهی بدون علامت یا علامت دار و
بطور ناگهانی وحاد با تابلو مشابه فارنژیت حاد استرپتوکوک، فورم
تیفوئید ، هپاتیت حاد عفونی خود نمائی میکند .
ویروس
اپشتین بار ویروسی است که درسال 1960 از بورکیت لنفومای آفریقائی
کشف شد . این ویروس عامل منونوکلئوز حاد عفونی می باشد ونقش مهمی
در بیماری های پرولیفراتیو مثل :
Lymphocytic Interstitial Pneumonia Large Cell
Lymphoma
و همچنین
در بیماران Immunocompramised
دارا میباشد .
تظاهرات بالینی منونوکلئوز حاد عفونی
تب ،
فارنژیت اگزوداتیو ، لنفادنوپاتی ، هپاتواسپلنومگالی ، لنفوسیتوز
اتیپیک ، با فورم های بدون علامت تا کشنده وراش به ویژه با مصرف
آمپی سیلین تظاهر میکند .











تظاهرات وعوارض سیستم اعصاب مرکزی
به صورت
مننژیت آسپتیک ، آنسفالیت ، میلیت ، نوریت اپتیک ، فلج اعصاب
کرانیال ، میلیت ترانس ورس وسنندرم گیلن باره خود نمائی میکند .

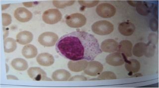
نشانه ها وعوارض هماتولوژیک
به صورت
پارگی طحال ، ترومبوسیتوپنی ، آگرانولوسیتوز ، آنمی همولیتیک ،
Hemophagocytic Lymphohistiocytosis (HLH
ندرتا پنومونی ، اورکیت ومیوکاردیت بروز میکند
ویروس اپشتین بار همراه با چند اختلال نا همگون
سنندرم
لنفوپرولیفراتیوX-lhnked
و اختلالات لنفوپرولیفراتیو بعد از پیوند
Post-Transplantation Lymphoproliferative Disorders
وبورکیت
لنفوما
و
کارسینومای نازوفارنگس ذکر شده است .
اتیولوژی
در سال
1950 دو دانشمند به نام های Denis
و
Burkit
به تومور های سرطانی خاص برخورد کردند که به نام بورکیت لنفوما
نامگذاری نمودند .
چند سال
بعد اجزائی از هرپس ویروس را در کشت این تومور ها جدا نمودند که در
اتیولوژی این تومور ها دخالت داشته است که همانا ویروس اپشتین بار
بود .
اپیدمیولوژی
انسان
تنها میزبان ویروس اپشتین بار است وتقریبا 90 درصد افراد بالغ
آمریکائی ها به این ویروس آلوده هستند .ویروس در بزاق وجود دارد .
نحوه انتقال مشخص نیست انتقال به وسیله ترانسفوزیون وپیوند وتماس
جنسی دیده می شود . انتقال با تماس مستقیم وبوسیدن هم گزارش شده
است .
دوره کمون
دوره
کمون درحدود 30-50 روز می باشد.
تست های تشخیصی
به طور
روتین تست های سرولوژی انجام می شود .
·
تست پول-
بانل Paul-Bunnell Test
·
Agglutination Reaction Test
·
The Heterophil Antibody Response
IgM
·
که در دو
هفته اول بیماری ظاهر می شود ودر ظرف مدت 6 ماه از بین میرود. در
کودکان کمتر از 4 سال منفی ودر اطفال بزرگتر از 4 سال 85 درصد در
ظرف دو هفته اول بیماری مثبت می شود .
·
افزایش
لنفوسیت های آتیپیک مشخص کننده وغیر اختصاصی است اما در بیش از 10
درصد همراه تست آنتی بادی هتروفیل مثبت در تشخیص عفونت حاد موثر
است.
·
PCR
از تست های تشخیصی با ارزش است.























درمان
Contact Sports
باید تا زمان بهبودی کامل پرهیز شود . حزف ورزش تا طبیعی شدن طحال
برای جلوگیری از پارگی طحال لازم می باشد . در صورت حدس بیماریEBV
از تجویز آمپی سیلین و آموکسی سیلین پرهیز گردد .
درمان
کوتاه مدت با کورتیکواستیروئید در موقع بزرگی شدید لوزه ها وانسداد
راه های هوائی یک میلی گرم به ازاء هر کیلوگرم وزن در روز به مدت 7
روز
در
Life threatening HLH
با سیکلوسپورین واستیروئید درمان شود . آسیکلوویر
Acyclovir
یا والاسیکلوویر Valacyclovir
خیلی تاکید نشده ولی گاهی از اوقات مصرف می شود .
ایزولاسیون
احتیاط
های استاندارد توصیه می گردد Standard
Precautions are recommended



